Getting Here
Parking Near the Clinic
We are located in Ras el Nabaa, near AlFakhani and Al Agha restaurant. Several parking options are available within walking distance.
Parking Ras Ennabeh
Public Parking Father Chanteur
Barbir Parking
Parking Koleilat
Public Parking
Clinic Address
Ras el Nabaa, near AlFakhani and Al Agha Restaurant, El Aamiliyeh, Beirut
Our Services
What Can We Help You With?
General Consultation & Check-up
A thorough examination to assess your oral health, diagnose concerns early, and establish a personalised care plan.
Book a Check-up →Braces & Aligner Consultation
Explore your orthodontic options, traditional braces, clear aligners, or retainers, with our specialist team.
Book Orthodontic Consult →Children's Dental Consultation
A gentle, child-friendly environment designed to make young patients feel safe and comfortable from their very first visit.
Book for a Child →Our Team
Specialists You Can Trust
Each doctor at Olympus is a specialist in their discipline, working together to deliver complete, coordinated care.
Our Work
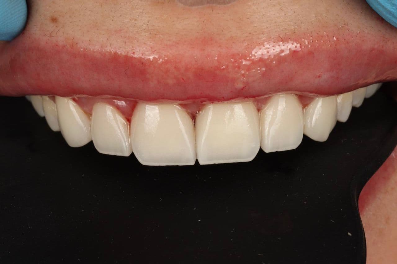
Smile Transformations
A selection of clinical results from our prosthetics and esthetics practice.
Patient Education
Understanding Your Options
Informed patients make better decisions. Here is what you should know about some of our most common restorative and esthetic treatments.
Appointments
Request a Consultation
Fill in the form below and our team will confirm your appointment within 24 hours. You can also reach us directly at +961 71 888 326.




